루닛 인사이트 MMG는 유방암 영상 검출·진단 보조 소프트웨어로, 유방 촬영 영상을 분석하여 유방암 의심 부위를 검출합니다.
본 제품은 국가별 규제 상황에 따라 판매 또는 배포가 제한될 수 있습니다.
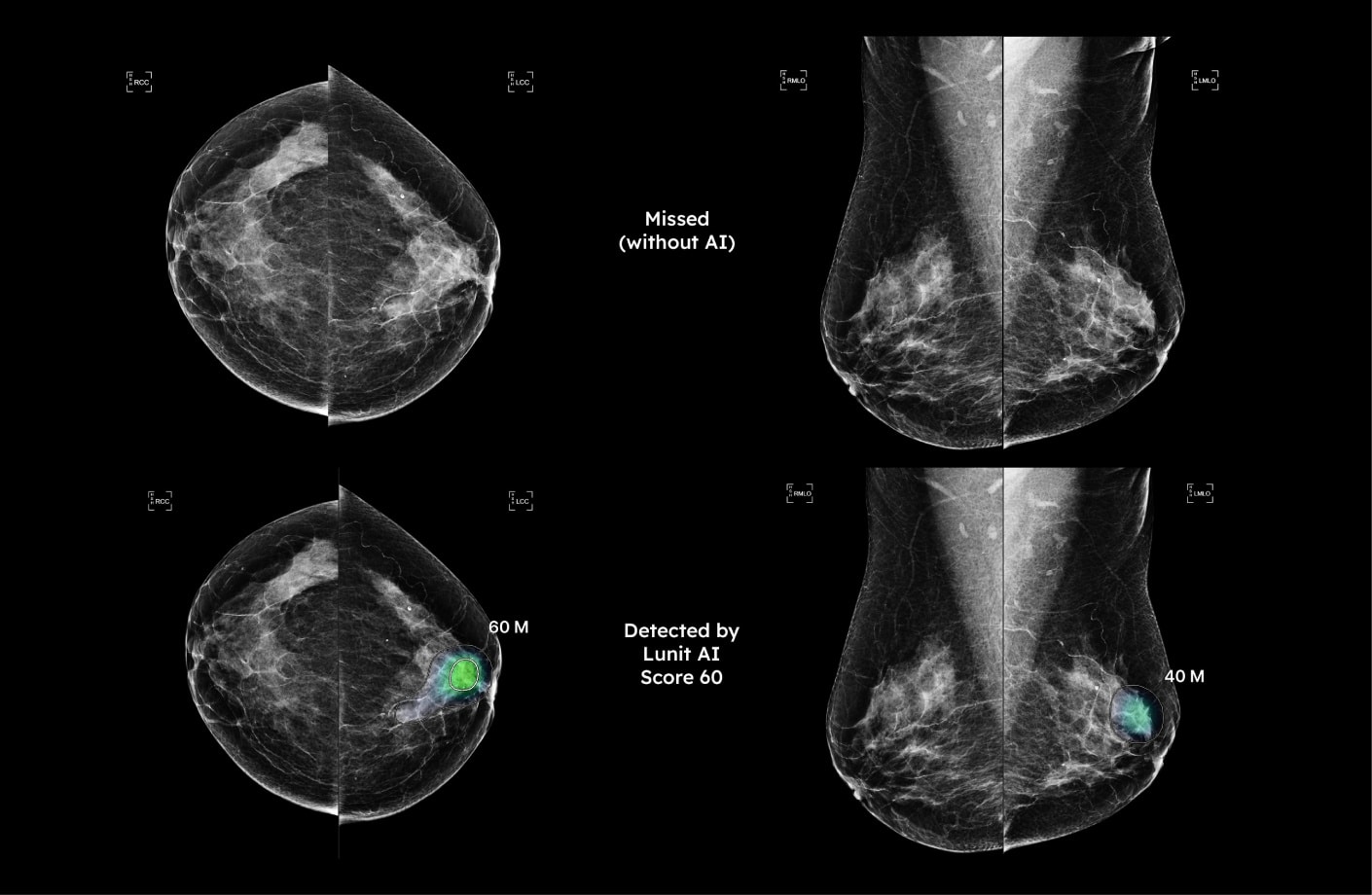
루닛 인사이트 MMG는 유방 촬영 영상을 분석해 유방암 의심부위의 위치와 유방 내 병변이 존재할 가능성을 0~100 범위의 점수로 표시합니다.
또한 병변 유형을 세 가지로 표시합니다.
아울러, 루닛은 매년 루닛 인사이트 MMG의 학습 데이터를 업데이트하며 알고리즘의 성능을 관리하고 있습니다.

루닛 인사이트 MMG는 비정상 소견 점수가 2 미만인 케이스를 정상으로 분류합니다. 하단에 N을 표시하며 영상 위에 병변을 표시하지 않습니다. 또한, 정상 케이스 자동 판독문 생성 기능을 활용해 효율적인 판독이 가능합니다.

루닛 인사이트 MMG는 유방 치밀도1를 자동으로 분석합니다. BIRADS 유방밀도 A, B, C, D와 함께 각 밀도에 해당되는 AI 유방치밀도 점수(1-10)을 표시해 세분화된 분석이 가능합니다.
1Ritse M. Mann, Alexandra Athanasiou, Pascal A. T. Baltzer, Julia Camps-Herrero, Paola Clauser, Eva M. Fallenberg, Gabor Forrai, Michael H. Fuchsjäger, Thomas H. Helbich, Fleur Killburn-Toppin, Mihai Lesaru, Pietro Panizza, Federica Pediconi, Ruud M. Pijnappel, Katja Pinker, Francesco Sardanelli, Tamar Sella, Isabelle Thomassin-Naggara, Sophia Zackrisson, Fiona J. Gilbert & Christiane K. Kuhl On behalf of the European Society of Breast Imaging (EUSOBI)

JAMA Oncology에 발표된 연구에서 루닛 인사이트 MMG는 악성 병변 탐지에서 우수한 정확도와 민감도-특이도의 균형 잡힌 성능을 보인 것으로 나타났습니다.2
2. Salim M, Wåhlin E, Dembrower K, et al. External Evaluation of 3 Commercial Artificial Intelligence Algorithms for Independent Assessment of Screening Mammograms. JAMA Oncol. 2020;6(10):1581–1588.

루닛 인사이트 MMG는 특이도 향상5을 통해 위양성 및 불필요한 재검 감소에 도움을 주는 것으로 나타났습니다.
5Kwon, Mr., Chang, Y., Ham, SY. et al. Screening mammography performance according to breast density: a comparison between radiologists versus standalone intelligence detection. Breast Cancer Research 2024.

THE LANCET Digital Health에 발표된 논문에 따르면 루닛 인사이트 MMG를 판독 워크플로우에 활용했을 때 60% 케이스를 정상으로 분류했습니다.6 이는 의료진의 업무 부담을 줄이고 효율성을 높이는 데 도움이 되는 것으로 나타났습니다.
6Karin Dembrower, Erik Wåhlin, et al. Effect of artificial intelligence-based triaging of breast cancer screening mammograms on cancer detection and radiologist workload: a retrospective simulation study. THE LANCET Digital Health. 2020
루닛 인사이트 MMG 관련 최신 연구, 제품 업데이트, 글로벌 파트너십 소식 등을 확인해보세요.
루닛 인사이트 MMG를 효과적으로 활용하기 위한 가이드 및 교육 자료 등을 확인해보세요.

문의사항을 남겨주시면 루닛 비즈니스팀이 직접 답변 드리겠습니다.