Want to learn more about Lunit AI Solutions? Let’s connect! Contact Us
Back to List

Lunit to Participate in RSNA 2021, Presenting its New AI Solutions for Digital Breast Tomosynthesis and Chest CT

Nov 4, 2021 - Lunit Media
  • With its most mature product--Lunit INSIGHT CXR and Lunit INSIGHT MMG--now clinically used in more than 30 countries, the company expands its AI product line for radiology Lunit INSIGHT to DBT and chest CT

  • Demo of Lunit INSIGHT DBT and Lunit INSIGHT Chest CT are introduced at Lunit booth #4545, with the official launch expected next year 

  • Including product demonstration at its booth, the company also take parts in 13 abstract presentation and CEO speech at AI Theater



Lunit, a leading medical AI provider, will be returning to the 107th Radiological Society of North America (RSNA) this year with its up-to-date, comprehensive AI solutions for chest and breast radiology. Along with its most mature products, the company will showcase the demo version of the brand new AI solution for Digital Breast Tomosynthesis (DBT) and chest CT in its booth #4545, RSNA South Hall. 



Lunit’s most mature products for radiology include AI solutions for chest x-ray, Lunit INSIGHT CXR and for mammography, Lunit INSIGHT MMG, which have been first introduced at RSNA 2017 and 2018 respectively. The company has been presenting the upgraded versions of the software ever since, now clinically available in 400 medical sites in more than 30 countries. This time the company is expanding Lunit INSIGHT product lines with DBT and chest CT solutions.




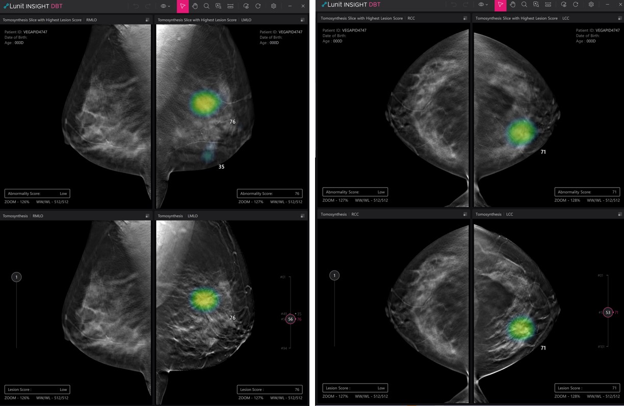
Lunit INSIGHT DBT Demo




According to the company, its AI solution for DBT is called ‘Lunit INSIGHT DBT’, which can accelerate reading by handpicking the 3D slice image with suspicious lesions among multiple images. Its solution for CT is ‘Lunit INSIGHT Chest CT’, which AI automatically generates the location, type, volume, and axial diameter of the detected nodule. 



“Chest x-ray and mammography are the first-line examinations where you find suspicious diseases that can cause lung or breast cancer,” said Sunggyun Park, Chief Product Officer of Lunit. “CT and DBT are more sophisticated examinations where you can further evaluate the specification of nodules or distinguish cancer. At this stage, our AI will be able to assist radiologists to diagnose cancer faster, at a higher accuracy. The products are now under final validation, and expected to officially launch next year.”





Lunit INSIGHT Chest CT Demo



“It is meaningful for us to introduce the demo of Lunit INSIGHT DBT and Lunit INSIGHT Chest CT for the first time at this year’s RSNA, where we can actually demonstrate the solution to our potential users,” said Brandon Suh, CEO of Lunit. “From x-ray, mammography to Chest CT, DBT and more, we will keep working on developing innovative AI solutions to offer comprehensive medical imaging--to improve radiologist workflow and patient health.”





Lunit at RSNA 2021



Lunit Booth


  • Visit booth #4545 South Hall for product demonstration for Lunit INSIGHT CXR, Lunit INSIGHT MMG, Lunit INSIGHT DBT, and Lunit INSIGHT Chest CT. Available from 28 Nov - 2 Dec 2021, 10:00 am to 5:00 pm daily

*Some of the products will be available for demonstration during RSNA, not only at Lunit booth, but also displayed at our global partners’ booths: FUJIFILM, GE Healthcare, Philips, INFINITT healthcare, and SECTRA.




CEO Presentation at AI Theater


  • Lunit’s CEO, Brandon Suh, will be on stage at AI Theater to give an industry presentation about the recent and upcoming product developments, business activities on how our AI is clinically applied across global sites.

  • Title: Perfecting Intelligence, Transforming Medicine: A.I. in Lung and Breast Diagnostics

    When: Sunday, November 28th 2:30 PM - 2:45 PM CDT

    Session ID: IS9-AI109

*If you would like to book a media interview with our CEO, contact julee@lunit.io.




Presenting 13 Abstracts


  • Studies on the diagnostic value of AI in chest and breast radiology will be presented during the event. Abstracts include the effectiveness of AI in finding breast cancer on DBT analysis, clinical validation of Lunit INSIGHT CXR and Lunit INSIGHT MMG and more. 

*Search ‘Lunit’ in RSNA meeting program to read our abstracts.




Book your meeting with Lunit at RSNA 2021 live or virtually


  • Online meeting → (click)

  • Offline meeting → (click)


AbstractAIBreast RadiographyChest RadiographyConferenceCorporateLunit INSIGHTProductRadiology

More from News

No Data